KAZINFORM
Жаҳон
Ҳодиса
Қозоғистон
Сиёсат
Таҳлил
Иқтисодиёт
OZ
RU
KZ
AR
CN
Марказий Осиё
Евроосиё
Яқин Шарқ
Америка
Африка
Жаҳон
Ҳудудлар
Жамият
Қонун ва ҳуқуқ
Маданият
Спорт
Қозоғистон
Президент
Ҳукумат
Парламент
Халқаро муносабатлар
Политика
Политика
Таҳлил
Иқтисодиёт
Ҳодисалар
Сиёсат
Қозоғистон
Жаҳон
Тренд:
Оқўрда
Тайинловлар
Қонун ва тартиб
Досье
Конституциявий ислоҳот
Теглар
KAZINFORM
УЗБ
KZ
QZ
EN
EN
EN
EN
EN
Тренд:
Акорда
Тайинловлар
Қонун ва тартиб
Досье
Конституциявий ислоҳот
Жаҳон
Марказий Осиё
Евроосиё
Яқин Шарқ
Америка
Ҳодиса
Қозоғистон
Ҳудудлар
Жамият
Қонун ва ҳуқуқ
Маданият
Сиёсат
Президент
Ҳукумат
Парламент
Халқаро муносабатлар
Таҳлил
Аналитика
Иқтисодиёт
Ҳодиса
Спорт
Экономика
Фан
17:31, 26 Сентябрь 2025
Сунъий интеллект соҳасида 10 миллиард тенгелик 62 та лойиҳа амалга оширилмоқда - вазир
16:20, 26 Сентябрь 2025
Давлат раҳбари: АЭС қурилишида барча экологик меъёрларга риоя қилиш — асосий талаб
15:00, 26 Сентябрь 2025
Президент: Иқтисодий ўсиш бевосита илм-фан билан боғлиқ, бу — аксиома
14:28, 25 Сентябрь 2025
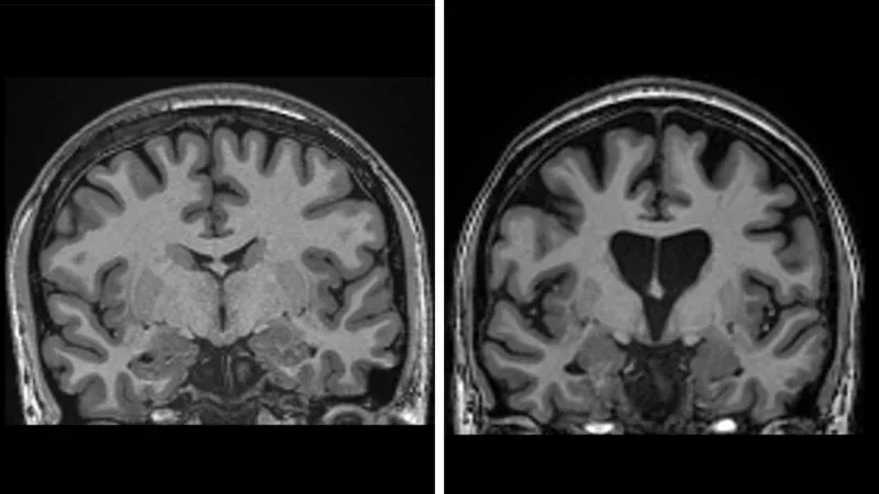
Олимлар Хантингтон касаллигининг ривожланишини 4 баробар секинлаштиришга муваффақ бўлишди
13:52, 09 Сентябрь 2025
Абай вилояти ўқувчиси боғни суғориш роботини ихтиро қилди
17:07, 31 Июль 2025
Ўзбекистонда илмий тадқиқот ва ишланмалар бажарган ходимлар сони қанча
19:35, 25 Июль 2025
Кунига 10 минг эмас, 7 минг қадам: соғлиққа фойдаси илмий жиҳатдан исботланди
08:00, 21 Июль 2025
Қозоқзабон робот аутизмни қандай даволаяпти
20:31, 14 Июль 2025
Хитойлик олимлар якни муваффақиятли клонладилар
10:35, 21 Июнь 2025
Қозоғистондаги илк илм-фан шаҳарчаси: Ҳукумат Техношаҳар қуриш масаласини муҳокама қилди
20:10, 06 Май 2025
БАА тадқиқотчилари инвазив бўлмаган қон оқими мониторинги технологиясини яхшилайди
15:11, 23 Апрель 2025
3D стейк: Европа космик агентлиги орбитада озиқ-овқат етиштиришни режалаштирмоқда
1
2
3
4
5
…
22